Dental Veneers in Scottsdale, AZ
Porcelain Veneers in Scottsdale, AZ
S&C Dental provides beautiful porcelain veneers to patients throughout Scottsdale and the surrounding communities of Paradise Valley, Gainey Ranch, DC Ranch, and Silverleaf. Whether you want to correct chipped teeth, close gaps, or achieve a brighter smile, custom veneers offer a natural-looking solution that can last 10-15 years with proper care. In addition to dental veneers, we offer a complete range of cosmetic dental services including teeth whitening, dental implants, and smile makeovers.
What Are Dental Veneers?
Dental veneers are thin pieces of translucent porcelain designed to cover the teeth’s surface to improve their appearance. Veneers mimic natural tooth enamel and can provide the teeth with strength and resilience. Veneers can be customized to your desired size, shape, color, and length. Many patients prefer veneers over other cosmetic options because they provide immediate, dramatic results with minimal tooth preparation compared to dental crowns.
What Are Porcelain Veneers?
Porcelain veneers are thin layers that match the natural contour of your teeth. We use them to correct various imperfections, from chipped and cracked teeth to stains that don’t respond to professional teeth whitening. No matter why you choose to have porcelain veneers fitted on your teeth, this custom-fitted dental solution offers a permanent, beautiful result.

Porcelain Veneers Vs. Dental Crowns
Porcelain veneers and dental crowns are very similar and address many of the same issues. But there are significant differences, making one more viable than the other for many patients.
Veneers are incredibly thin and only cover the front and sides of a tooth. If you have damage to the top of your teeth in addition to the front and side, consider a dental crown. The primary difference has to do with function: veneers are a cosmetic fix for stained or chipped teeth, while crowns provide both cosmetic improvement and structural support.
Veneers work best for patients with outstanding oral health. Crowns are better for teeth with significant structural issues or after root canal treatment. During your consultation at our Scottsdale office, we’ll help you determine which option is right for your smile goals.
What Does The Porcelain Veneer Procedure Involve?
First, your dentist will take a mold of your teeth. It will usually take a week or two after the mold is made for your veneers to arrive from the lab. Once your veneers have arrived in our Scottsdale office, we will contact you to schedule an appointment for your porcelain veneer procedure.
After evaluating your veneers’ fit, coloration, and shape, your teeth will be thoroughly cleaned and prepared for placement. Cleaning the teeth helps protect against bacteria becoming trapped under the veneers and leading to decay.
Next, your dentist will use a grinding tool to help create a rough texture on each tooth set to have a veneer applied—this removes only about 0.5mm of enamel and makes it easier for the veneer to stick. Dental cement is then used to bond the veneers to your teeth. Ultraviolet light is used to harden the dental cement quickly. The entire porcelain veneer procedure typically takes about two hours.
For patients who experience dental anxiety, we offer sedation dentistry options to ensure your comfort throughout the procedure.
Do Porcelain Veneers Stain?
Porcelain veneers are made from stain-resistant materials and do not become discolored or stained easily. Unlike composite veneers which can become susceptible to staining over time, porcelain maintains its brightness. Proper care will help ensure that your porcelain veneers remain white and beautiful for years to come.
How Strong Are Porcelain Veneers?
Porcelain veneers are extremely strong, and once bonded to your teeth, the material becomes incredibly durable. It would take a powerful force to crack your porcelain veneers. However, because they are not indestructible, we suggest avoiding chewing ice, hard nuts, popcorn, and any substance that could cause your veneers to crack. If you grind your teeth at night, we may recommend a custom night guard to protect your investment.
Porcelain Veneers Cost in Scottsdale
We believe in transparent pricing. Here’s what you can expect for veneers at S&C Dental:
| Veneer Type | Price Range | Details |
|---|---|---|
| Porcelain Veneer (per tooth) | $1,000 – $2,500 | Custom-crafted, stain-resistant, 10-15 year lifespan |
| Composite Veneer (per tooth) | $400 – $1,500 | Same-day application, 4-8 year lifespan, more affordable option |
| Smile Makeover (6-8 veneers) | $6,000 – $20,000 | Full smile transformation, covers all visible teeth |
| Full Set (10-12 veneers) | $10,000 – $30,000 | Complete upper and/or lower arch transformation |
Financing Available: We accept most dental insurance and offer flexible payment options through CareCredit and in-house financing. Your consultation includes a personalized treatment plan with exact pricing.
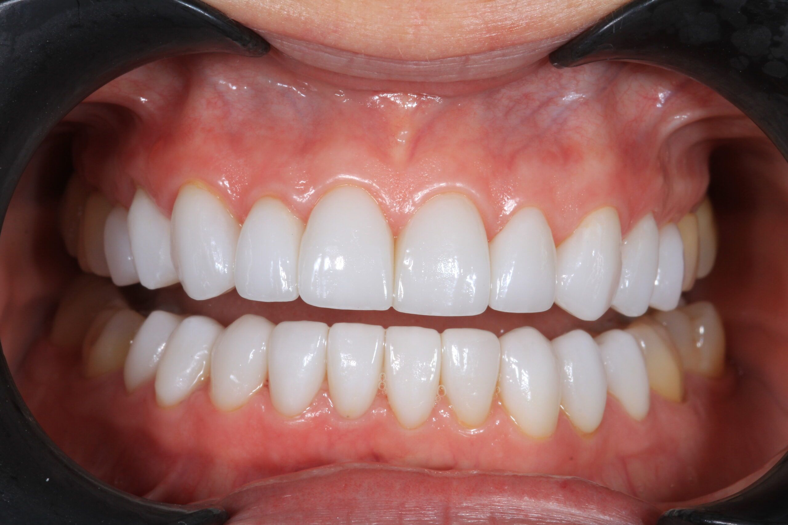
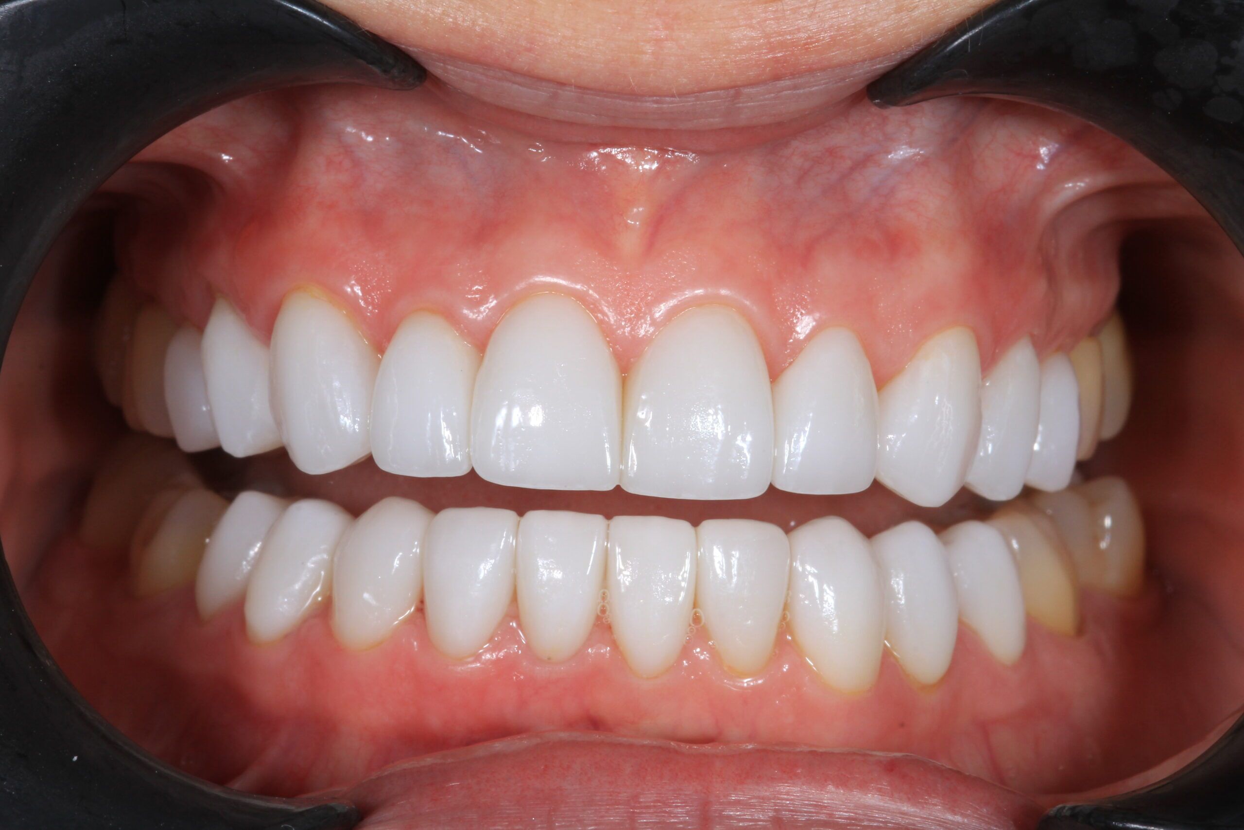
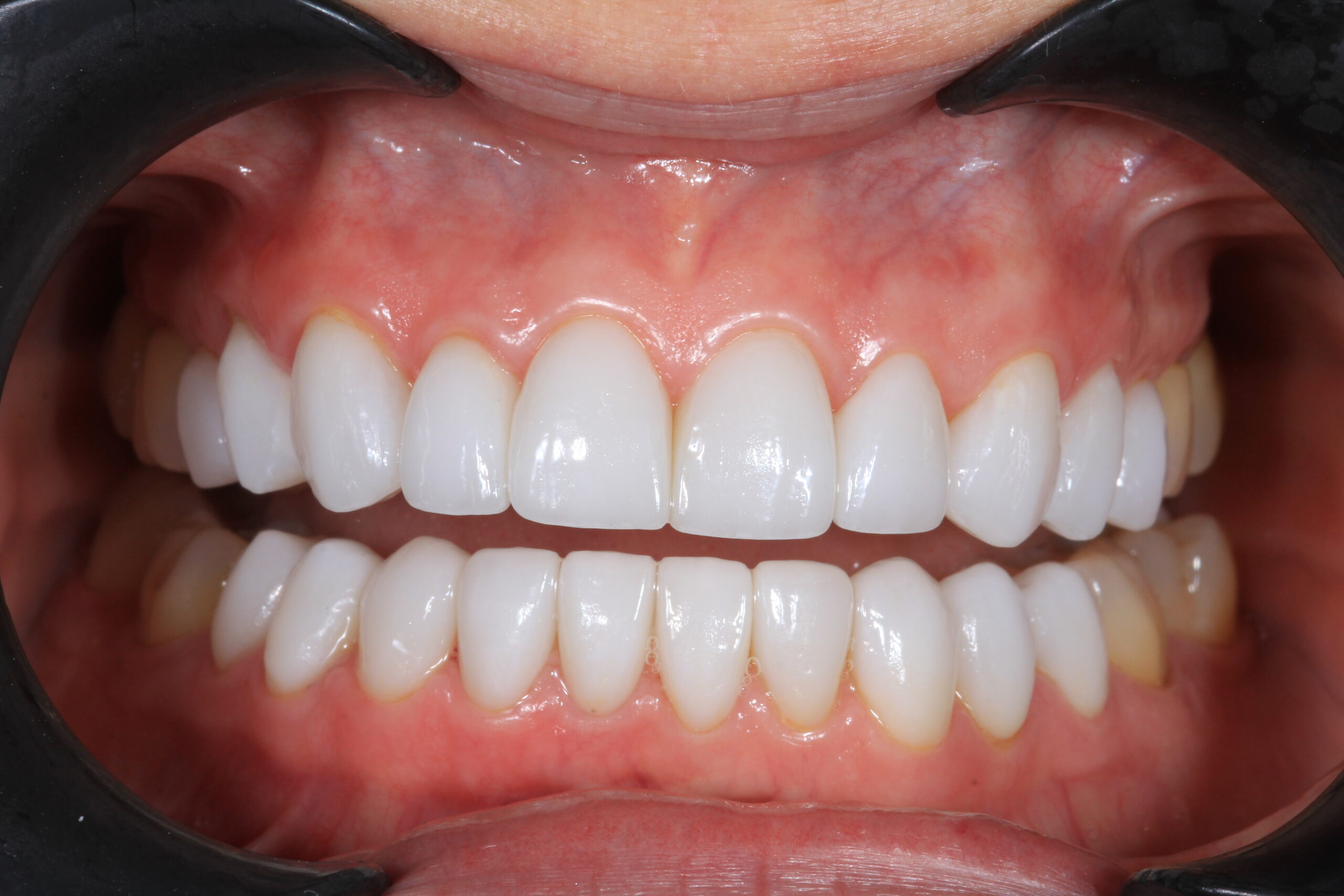
Porcelain Veneers Before & After Results
See the transformative results our Scottsdale patients have achieved with custom porcelain veneers. Each smile makeover is tailored to the individual patient’s goals and facial features.
| Before
| After
|
| Before
| After
|
| Before
| After
|
| Before
| After
|
| Before
| After
|

What Are The Benefits of Porcelain Veneers?
Porcelain veneers offer benefits that composite veneers don’t match:
- Durability – Porcelain veneers last between 10 and 15 years, whereas composite veneers typically only last between four and eight years. Once bonded to healthy teeth, porcelain veneers are immensely durable while composite veneers are more prone to chip.
- Aesthetics – Porcelain veneers have translucent properties, allowing them to catch the light like natural teeth. Because these veneers resist stains, you won’t have to worry about whitening your teeth anymore.
What Are The Benefits Of Custom Veneers?
There are more than a few benefits to dental veneers. With proper brushing and flossing, your custom veneers will last a lifetime. They will improve the self-confidence of patients who sometimes hesitate to smile or laugh in mixed company.
- A Simple Solution: Veneers don’t take much time to adhere to your teeth. They can resolve chipped, missing, and misshapen teeth, and correct gaps and stains. They are painless with an immediate impact—especially beneficial for those addressing gaps in their teeth.
- A Natural Appearance: We custom-create your veneers to match the color of your other teeth. Porcelain looks much like natural enamel, so those who see you smile won’t notice you had cosmetic dental work done.
- A Minimally-Invasive Procedure: We remove only one-half millimeter of the tooth’s front surface—much less than if we were installing a crown. Then we use special cement to adhere the veneer to the tooth—and that’s it!
- A Permanent Solution: Veneers are permanent and resist decay and staining better than natural teeth. They represent a long-term investment in your smile and confidence.
- Minimal Maintenance: You don’t need special solutions or toothbrushes. All you have to do is maintain your regular brushing and flossing habits and visit S&C Dental for your routine dental cleanings.
- The Procedure Doubles As Teeth Whitening: Because veneers can address stained teeth, they double as a teeth whitening procedure. Many patients return time and again for whitening, but with veneers you won’t need to since they’re permanent.
Frequently Asked Questions About Veneers
How long do porcelain veneers last?
Porcelain veneers typically last 10-15 years with proper care. Composite veneers generally last 4-8 years. With excellent oral hygiene and regular checkups at our Scottsdale office, your veneers can last even longer.
Am I a good candidate for veneers?
Good candidates have healthy teeth and gums, adequate tooth enamel, and realistic expectations. Veneers are ideal for correcting chipped, cracked, stained, or gapped teeth. If you grind your teeth, we may recommend a night guard to protect your veneers.
Is the veneer procedure painful?
The procedure involves minimal discomfort. We remove only about 0.5mm of enamel, and local anesthesia ensures you’re comfortable. For patients with dental anxiety, we offer sedation dentistry options.
Can veneers fix crooked teeth?
Veneers can improve the appearance of mildly crooked or misaligned teeth by creating a straighter-looking smile. For more significant alignment issues, we may recommend Invisalign before or instead of veneers.
How do I care for my veneers?
Care for veneers just like natural teeth: brush twice daily, floss daily, and visit S&C Dental for regular cleanings and checkups. Avoid biting hard objects like ice or using your teeth as tools.
What’s the difference between veneers and Lumineers?
Lumineers are a brand of ultra-thin veneers that may require less tooth preparation. However, traditional porcelain veneers often provide better aesthetics and durability. We’ll discuss both options during your consultation.
How much do porcelain veneers cost in Scottsdale?
Porcelain veneers in Scottsdale typically cost $1,000 to $2,500 per tooth. Composite veneers are more affordable at $400 to $1,500 per tooth. A full smile makeover with 6-8 veneers ranges from $6,000 to $20,000. S&C Dental accepts most dental insurance and offers financing options including CareCredit to make your dream smile affordable.
Related Resources
Learn more about veneers and cosmetic dentistry options:
Schedule Your Veneers Consultation in Scottsdale
If you’ve been considering changing your teeth, then veneers might be the most straightforward and least-invasive solution possible. We are confident you will enjoy and appreciate the benefits of investing in custom porcelain veneers.
At S&C Dental, we serve patients throughout Scottsdale and nearby communities including Paradise Valley, Gainey Ranch, DC Ranch, Silverleaf, McCormick Ranch, Grayhawk, and North Scottsdale. We work hard to ensure our patients are comfortable before, during, and after their procedures. Our experience allows us to place veneers quickly and painlessly.
Schedule an appointment with our professional team or contact us today at (480) 691-0020.










